События
Ближайших событий нетНовости
Публикации
Митрофан Щепкин: аграрный реформатор эпохи перемен
Митрофан Митрофанович Щепкин (1871–1921) — выдающийся российский животновод, предприниматель и просветитель, чьи идеи и практики во многом определили развитие аграрного сектора России на рубеже XIX–XX веков. Несмотря на значимость его вклада, о Щепкине написано крайне мало — лишь отдельные историко-биографические статьи. Проследим путь реформатора: от первых опытов в имении отца до создания племенных заводов, организации всероссийских животноводческих выставок и преобразования Земледельческой школы МОСХ. Узнаем, как он стремился модернизировать крестьянское животноводство, внедрял зарубежный опыт и искал пути спасения отрасли в тяжёлые годы Первой мировой войны. Его принцип — «без знания кровей нет племенного дела» — стал ориентиром для поколений животноводов и остаётся актуальным по сей день. Читать далее
Тайная защита огурца: как гены LOX помогают бороться со стрессом
Огурец — культура капризная: жара, холод, мучнистая роса и серая гниль могут уничтожить урожай. Но у растения есть скрытая система защиты. Международная группа исследователей впервые проанализировала пан-геном огурца и нашла 24 гена семейства LOX, которые помогают культуре противостоять стрессам. Один из них, CsLOX22, оказался универсальным «солдатом» — он включается при любых угрозах. Открытие поможет селекционерам создавать сорта, устойчивые к болезням и непогоде без лишней «химии». Читать далее
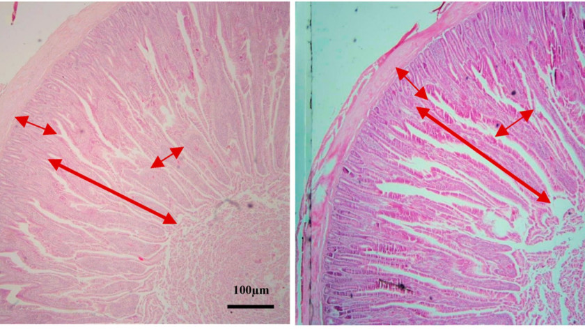
Как ферментированный бамбук улучшает рост, иммунитет и пищеварение у цыплят-бройлеров
В данном исследовании изучается влияние ферментированного бамбукового порошка (ФБП) на продуктивность роста, антиоксидантный статус, морфологию кишечника и экспрессию генов переносчиков питательных веществ у цыплят-бройлеров. Читать далее
Зачем вносить уголь на поле с люцерной? Результаты трехлетнего эксперимента
В системах искусственных пастбищ широкое применение неорганических азотных удобрений значительно повысило продуктивность травостоя, однако также привело к серьезным экологическим проблемам. Совместное использование биоугля и азотных удобрений признано эффективным и устойчивым подходом, позволяющим снизить экологические риски и одновременно увеличить урожайность. Тем не менее, конкретное влияние биоугля и азота на урожайность люцерны, свойства почвы и морфологию корневой системы остается недостаточно изученным. В данном исследовании рассматривалось воздействие трех доз внесения биоугля (0, 10, 20 т/га) и четырех уровней азотного питания (0, 47, 94, 188 кг N/га в год) на рост люцерны и характеристики почвы. Читать далее
Как научить робота точно срезать цитрусовые: быстрый и легкий алгоритм на базе YOLOv8
Локализация точек сбора цитрусовых имеет решающее значение для автоматизированной уборки урожая цитрусовых. В связи со сложными условиями произрастания цитрусовых и ограничениями оборудования, разработка эффективного метода локализации точек сбора является актуальной задачей исследований. В данном исследовании разработан новый и эффективный рабочий процесс локализации точек сбора цитрусовых, названный CPPL. Читать далее
Госдума упразднила цифровую систему господдержки АПК
Цифровизация господдержки в АПК снова корректируется. Государство отказывается от отдельной IT платформы и делает ставку на уже работающую инфраструктуру. Для аграриев это не просто правка формулировок в законе, а сигнал о том, как дальше будет выстроено взаимодействие с системой субсидий. Читать далее








